|
|
|
|
24.04.2021 Geburt |

Die glückliche Mama mit 8 Welpen

4 Jungs und 4 Mädels gute Aufteilung
|
|
17.04.2021 (55. Trächtigkeitstag) |

Jill geht es wunderbar. Sie wird
immer runder und etwas behäbiger. Lange ist es
ja nun nicht mehr. Bald haben wir es geschafft.
Ihr Bauchumfang ist nun bei 91 cm
.... schon ganz ordentlich !!!! |
|
01.04.2021 (39. Trächtigkeitstag) |
Die Föten sehen
nun aus wie Hunde, das Geschlecht ist
bestimmbar. Sie sind jetzt ziemlich resistent
gegen Störungen in der Entwicklung. Die Föten
wiegen ca. 6 Gramm und sind ca. 45 mm lang.
Jill
geht es wunderbar. Der Bauch wächst und sie hält
sich bei allem zurück. Keine wilden Spiele.
Nichts Also alles bestens. Bauchumfang bei
78 cm |
|
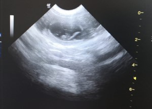
19.03.2021 (26. Trächtigkeitstag) |
Zwischen dem 18 . – 20 . Tag nisten sie sich
dann ein und die Ausbildung der Plazenta beginnt
Am 20. Tag besitzt nun auch jeder Embryo seinen
festen Platz.
Mit 25 Tagen sind die
Embryonen ca. walnussgroß

Wir waren beim Ultraschall und haben ganz
viele Fruchtanlagen gesehen. Hier kann man
wunderbar einen kleinen Welpen in der
Fruchtblase erkennen.
Freu,
Freu......wenn alles gut läuft, dann kommen die
kleinen Jill/Caruso Kinder um den 25. April
Voll glücklich....
Der Bauchumfang ist bei 69 cm |
|
08.03.2021 (15. Trächtigkeitstag) |
Jetzt liegen
die sich weiter teilenden Embryonen zunächst für
ca. 5 – 7 Tage frei in der Gebärmutter.
Danach verteilen sie sich gleichmäßig in den
Gebärmutterhörnern
Jill geht es gut. Sie ist
munter und sieht toll aus. Es dauert noch ein
bißchen bis zum Ultraschall. es heißt mal wieder
warten..... |
23.02.2021 (16. Läufigkeitstag) 2.
Decktag |
Und noch einmal. Doppelt hält besser. Perfekt.
Die beiden sind ein tolles Paar und lieben sich
heiß und innig |
22.02.2021 (15. Läufigkeitstag) 1.
Decktag |
Heute zum 1. mal gedeckt. Direkt ratz fatz
geklappt...perfekt |
|
20.02.2021 (13. Läufigkeitstag) |
3. Progesteron 4,22 (Samstag), am Montag
fahren wir zu Caruso!! |
|
19.02.2021 (12.Läufigkeitstag) |
2. Progesteron 2,74 am Samstag
gehen wir nochmal, vorsichtshalber, dann sind
wir auf der sicheren Seite und wissen genau wann
wir am besten fahren. |
|
17.02.2021 (10. Läufigkeitstag) |
1. Progesteron 0,74
noch sehr niedrig, aber bei Jill ging es letztes
Mal ratz fatz, mal schauen |
|
08.02.2021 (1. Läufigkeitstag) |
Jill
ist läufig!!!
bakterieller Abstrich zur Kontrolle ob
alles ok ist, haben wir gemacht |