|
B-Wurf - Planung Frida
und Luca |

Kauf einen jungen Hund und du wirst für Dein Geld wild entschlossene
Liebe bekommen. (Rudyard
Kipling)
Wir planen den ersten Wurf mit Frida und haben dafür
Luca ausgesucht. Ich bin überzeugt, dass die beiden
wunderbar harmonieren
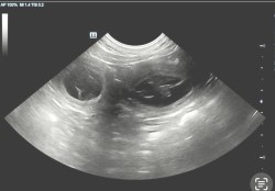
7. März 2026 - 26.
Tächtigkeitstag:
Heute waren wir beim Ultraschall und kommen mit der
glücklichen Botschaft heim: Frida ist tragend
Zwischen dem 18 . – 20 . Tag nisten sie sich
dann ein und die Ausbildung der Plazenta beginnt
Am 20. Tag besitzt nun auch jeder Embryo seinen
festen Platz.
Mit 25 Tagen sind die
Embryonen ca. walnussgroß

24.02.2026 - 15.
Trächtigkeitstag:
jetzt liegen die sich weiter teilenden
Embryonen zunächst für ca. 5 – 7 Tage frei in der
Gebärmutter.
Danach verteilen sie sich gleichmäßig in
den Gebärmutterhörnern
  

Luca und Frida
|
Hochzeit in Coppenbrügge am 10. und 11.02.2026 |
Frida - das erste Mal

Sie fand Luca unwiderstehlich

und umgekehrt war es genauso - Liebe auf den ersten
Blick

hier sind noch einige schöne Bilder von Luca


Pedigree B-Wurf
|
You fill my heart with joy Frida von der
Linzer Höhe
HD: A2/A2 ED: frei/frei
Augen:
RD/ PRA:/Katarakt: alles frei vom 28.01.2025
GR_PRA1
und GR_PRA2 frei, prcd-PRA frei
JAS
|
Gianni Versace of Calimero´s Castle
HD A2 ED frei/frei
RD/PRA/HC:frei, Augen frei,
GR_PRA 1 und 2 frei
JAS
|
Tenfield Sunny Lad
HD A2, ED frei/frei, GR_PRA 1 und 2 frei |
Only You Toffee of Calimero´s Castle
JP/R HD B1 ED frei/frei GR_PRA 1 und 2
über Erbgang fre |
Proud of perfect Jillian von der
Linzer Höhe
HD: A2 ED:
frei/frei
RD/PRA/HC: frei, PRA: frei, Katarakt:
frei vom 06.10.20
GR_PRA1 und GR_PRA2 über Erbgang frei
JAS
|
MultiCH -
Rayleas My Guy
HD: A2 ED: frei
RD/PRA/HC:
frei
GR_PRA1 frei,
PRCD-PRA 2 frei,
Trialer a la Francaise, Belg.Ch, Dt. Club
und VDH CH, Internationaler CH mit
Arbeitsprüfung,
taugl. für die jagdliche
Leistungszucht
|
Happy about Joy von der Linzer Höhe
HD: A2 ED: frei/frei RD/PRA/HC: frei
GR-PRA1 und PRA2
clear
Jugendprüfung Retriever (JP/R),
Bringleistungsprüfung BLP
taugl. für die jagdl. Leistungszucht |
Scorch Trials at Double Willow
HD:A2, ED frei/frei RD/PRA/HC frei
GR_PRA1 und 2 frei, JAS |
Double Willow Silver River
HD A, ED frei/frei Augen frei, GR PRA 1 und
2 frei |
Int. Ch,
Ital.Ch. Double Willow Bebopalula
HD A, ED frei/frei |
Int. nat.
Ch., ital. Ch.Double Willow Golden Nike
HD A ED frei fre |
Gingolds Zulema for Double Willow
HD A ED frei/frei |
Winterfell de Atrapasuenos |
Double Willow Golden Mate
HD A ED frei/frei |
|